تليف الرئة
الرئتان

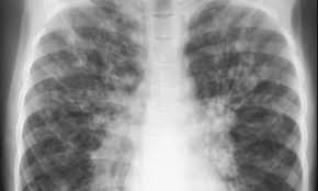
الرئتان هما عُضوا التنفُّس في الجهاز التنفسي، حيث يقعا بالقرب من العمود الفقري على جانبي القلب، وظيفتهما أخذ غاز الأكسجين من الجو، ثم تحويله داخل مجرى الدم، والتخلص من غاز ثاني أكسيد الكربون في مجرى الدم، وتسريحه في الهواء الخارجي، وذلك من خلال عملية التَنفُّس. تليف الرئة التليف هو عبارة عن تغيّر في توزيع الخلايا ووظائفها، ونمطها، حيث إنه يصيب العديد من الأعضاء، مثل القلب أو الرئتين، وعادة ما يحدث تليّف الرئة نتيجة سبب غير معروف، أو نتيجة الإصابة بالتهاب في الرئة، وخاصّةً في الأنسجة والحويصلات الهوائية، أو بالتهاب المفاصل المزمن، أو التهاب الذئبة الحمراء، أو تصلّب الجلد، أو السل، أو الاستنشاق المزمن لبعض المواد غير العضوية أو المواد العضوية، مثل السيليسكا، وغبار الحبوب، وفضلات الطيور، أو بعض الأدوية، كأدوية الأمراض المناعية، أو العلاج بالإشعاع، وغيره. عوامل زيادة خطر الإصابة بتليف الرئة التدخين. العامل الوراثي. طبيعة العمل، كالعمل في التعدين أو في مجال الزراعة. التقدم في السن. أعراض تليف الرئة النقص الحاد في مستوى الأكسجين في الدم. زيادة مستوى الهيموغلوبين في الدم. زيادة الشعور بالتعب والإرهاق. السعال الجاف. الشعور بعدم الارتياح في الصدر. انخفاض في الوزن. الألم في العضلات والمفاصل. مضاعفات تليف الرئة سرطان الرئة. فشل رئوي. زيادة الضغط الشرياني الرئوي. فشل قلبي. تشخيص تليف الرئة لتشخيص الإصابة تتم الاستعانة بالأدوات والفحوص الآتية: إجراء فحوصات الدم. فحوصات خاصة بالتهاب المفاصل. فحص وظائف الرئة، وتقييم قدرتها على نقل الأكسجين للدم. قياس حجم الرئة. قياس نسبة الأكسجين في الدم. عمل اختبارات الجهد. صورة أشعة مقطعية للصدر. أخذ عينة من الرئة عن طريق عملية المنظار التي تتم تحت تخدير موضعي. الأشعة السينية X-RAY. الموجات الصوتية للقلب. منظار للقصبات. ممارسة اختبار التحمل. علاج تليف الرئة والوقاية منه بالأدوية، عن طريق تقديم مشتقات الكورتيزون لعدة أشهر، ثم يتم تغيرها في حال عدم الاستجابة. معالجة السبب الأساسي الذي أدى للمرض.
إعطاء أكسجين للمحافظة على مستواه في الدم، لمنع الإصابة ببعض الأمراض، مثل زيادة لزوجة الدم، وقد يكون هذا العلاج بيتياً، أو في المستشفى. التدخل الجراحي عن طريق زراعة الرئة، ويتم عن طريق عمل فحوصات تطابق الأنسجة. ترك التدخين. ممارسة التمارين الرياضة بشكلٍ منتظم، ولمدة نصف ساعة يومياً، مثل السباحة، وركوب الدراجة، والمشي السريع. ممارسة تقنيات التنفس التي تساهم في تحسين كفاءة الرئة، كتمارين التنفس بعمق. الدعم والمساندة العائلية. تجنب استخدام بعض أنواع الأدوية لفترات طويلة، كالأدوية المضادة للالتهابات.
0 التعليقات: